
Smile Gallery
Gentle Dental Care for Herrin, IL & Beyond
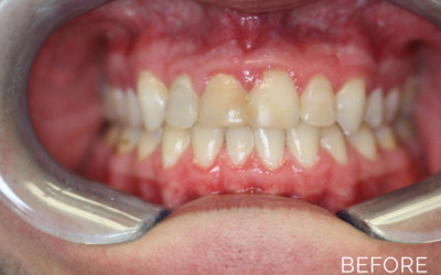
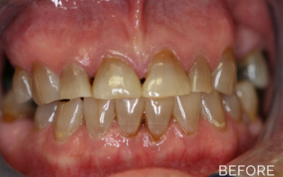
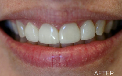
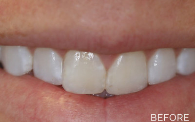
Throughout our decades of service to the patients in and near Herrin, IL, all of us at Donald G. Guebert, DMD have loved and continue to love helping our patients feel proud of their smiles. Through routine exams or extensive procedures, we do it all to ensure you have a healthy, stunning smile for years to come. Take a look at some photos of our office and of before and after photos of our patients. For more information, or to schedule an appointment, feel free to give us a call today!



























